Diabetischer Fuß: Symptome und Behandlung | Marien Hospital Witten
Zu den Inhalten springen
Marien Hospital Witten
St. Elisabeth Gruppe
HomeHome
Klinik für Gefäßchirurgie

Diabetischer Fuß

Rund eine Million Menschen in Deutschland sind am diabetischen Fuß erkrankt. Aufgrund der hohen Expertise in der Behandlung des diabetischen Fußsyndroms wurde die Klinik für Gefäßchirurgie des Marien Hospital Witten 2020 von der Deutschen Diabetes Gesellschaft (DDG) als stationäre Fußbehandlungseinrichtung zertifiziert. In diesen Einrichtungen erhalten Patienten eine umfassende und qualitativ hochwertige Behandlung deren Ziel es ist, Amputationen zu vermeiden. Die Behandlungsqualität wird alle drei Jahre von der DDG überprüft.

Diabetischer Fuß: Was ist das?

Neben einem Ungleichgewicht des Stoffwechsels kann bei Diabetikern auch die Durchblutung gestört sein. Auf Dauer macht dies die Haut anfälliger für Verletzungen. Die Wundheilung ist verzögert und es kommt häufiger zu Infektionen als bei Nicht-Diabetikern. Besonders betroffen sind die Beine und Füße. Ein diabetisches Fußsyndrom kann sich entwickeln – oder kurz: der diabetische Fuß.

Charakterisierend für den diabetischen Fuß ist das vermehrte Auftreten von offenen, schlecht heilenden Wunden, die sich infizieren und im schlimmsten Fall die Weichteile und Knochen angreifen. In besonders schwerwiegenden Fällen ist dann nur noch eine Amputation der betroffenen Gliedmaße möglich.

Je früher Wunden am Fuß erkannt und behandelt werden, desto höher sind die Chancen darauf, dass der Fuß erhalten werden kann.

Diabetischer Fuß: Häufigkeit in der Bevölkerung

Der diabetische Fuß ist eine der schwerwiegendsten Langzeitkomplikationen von Diabetes – über 50 % aller Operationen beim Diabetiker werden aufgrund von Problemen im Fußbereich durchgeführt. Über 1 Million Menschen sind am diabetischen Fuß erkrankt. Dies bedeutet, dass ca. 25 % der Diabetiker hiervon betroffen sind. Über 28.000 Amputationen im Fuß- und Unterschenkelbereich resultieren hieraus pro Jahr.

Diabetischer Fuß – Ursachen

Nach längerer Diabetesdauer tritt häufig eine Schädigung der Nerven, eine sogenannte Neuropathie, auf. Dabei sind das Temperatur- sowie das Schmerzempfinden vermindert, sodass man kleine Druckstellen, Blasen oder Verletzungen nicht mehr spürt. So kann man zum Beispiel den ganzen Tag mit einem kleinen Stein im Schuh herumlaufen, ohne zu merken, dass dieser die Haut aufscheuert.

Durch die Nervenschädigung ist außerdem die Schweißbildung sehr stark reduziert. Die Füße werden extrem trocken und es entstehen besonders an den Fersen Einrisse, die eine willkommene Eintrittspforte für Bakterien darstellen. Sind erst einmal Verletzungen aufgetreten, können Entzündungen entstehen, die bei schlechter Stoffwechseleinstellung schlecht heilen. Der diabetische Fuß entsteht.

Diabetischer Fuß – Symptome

Folgende Symptome können bei einem diabetischen Fuß auftreten, die bei der Stellung der Diagnose helfen:

  • rote Flecken
  • blasse Haut
  • bläulich verfärbte Stellen
  • schwarze Stellen (wenn das Gewebe bereits abgestorben ist)
  • Blutergüsse
  • Druckstellen
  • verringerte Wahrnehmung von Schmerzen

Diabetischer Fuß – Diagnose

Um einen diabetischen Fuß festzustellen, führt der Arzt ein ausführliches Gespräch mit dem Patienten. Vorrangig soll es dabei um aktuelle Beschwerden und mögliche Vorerkrankungen gehen. Teil der Anamnese können aber auch folgende Fragen zur Diabetes selbst sein. Etwa wie lange die Erkrankung besteht und wie stark die Beschwerden sind.

Darüber hinaus können auch Fragen zu täglichen Gewohnheiten bei dem Gespräch gestellt werden. Zum Beispiel, ob geraucht wird, wie oft und gründlich Fußpflege betrieben wird oder ob ein Nagelpilz besteht.

Ergänzend zur Anamnese erfolgt eine körperliche Untersuchung inklusive Inspektion der vorliegenden Wunden. Der Arzt wird den sogenannten „Wundstatus“ erheben und erfassen, in welchem Zustand sich die Wunden befinden.

Bildgebende Verfahren wie das Röntgen geben Aufschluss darüber, ob und inwieweit Knochen und Gelenke zerstört sind. Ist der Knochen bereits abgestorben oder besteht eine starke Flüssigkeitsansammlung, wird eine Kernspintomographie (MRT) nötig.

Diabetischer Fuß – Vorbeugung

Menschen mit Diabetes können durch besondere Vorsicht und sachgerechte Pflege ihrer Füße selbst dazu beitragen, einen diabetischen Fuß zu vermeiden.
Kontrollieren Sie täglich ihre Füße und achten Sie dabei auf die folgenden Punkte:

  • Hautverfärbungen
  • kleine Verletzungen, Wunden
  • Hornhaut, Schwielen
  • Hühneraugen
  • trockene, rissige Haut
  • Blasen
  • Fußpilz
  • eingewachsene, verdickte, weiße oder gelb verfärbte Fußnägel


Fußpflege

Betroffene sollten sich nicht scheuen, auch mit kleinen Verletzungen zum Arzt zu gehen. Jede Stunde, in der sich aus einer Verletzungen eine Entzündung bilden kann, zählt. Kleine Wunden sollten mit einem farblosen Hautdesinfektionsmittel desinfiziert und die betroffene Stelle mit einem trockenen sterilen Tupfer abgedeckt werden. Es empfiehlt sich, den Tupfer mit einem hautfreundlichen Pflaster zu befestigen. Wundsalben oder Puder bitte nur mit ärztlicher Anordnung verwenden.

Waschen Sie Ihre Füße möglichst täglich, wobei die Temperatur nicht über 37 Grad liegen sollte. Bei herabgesetztem Temperaturempfinden besteht anderenfalls die Gefahr, sich zu verbrühen. Überprüfen Sie deshalb die Temperatur mittels Thermometer. Die Fußbäder sollten nicht länger als drei Minuten dauern. Die Füße danach gründlich abtrocknen - besonders zwischen den Zehen (Fußpilzgefahr).

Trockene, rissige Haut wird mit einer Fettcreme eingecremt, die möglichst einen geringen Wasseranteil aufweist. Die Zehenzwischenräume sollten dabei ausgespart werden.


Diabetischer Fuß: Trockene, rissige Hautstellen

Ein diabetischer Fuß ist oft trocken und rissig.


Verletzungsgefahr bei der Fußpflege vermeiden
Aufgrund der Verletzungsgefahr raten wir, keine Scheren, Fußzangen oder spitzen Feilen zur Nagelverkürzung zu verwenden. Patienten sollten die Nägel mit einer Sandpapierfeile oder einer abgerundeten Diamantfeile feilen, wobei die Nägel mit der Zehenkuppe abschließen sollten.

Verdickte Hornhaut sollte entfernt werden. Auf die Verwendung von Rasierklingen, Hornhautraspeln oder rauen Feilen sollte verzichtet werden, da die Verletzungsgefahr zu groß ist. Am besten geeignet ist ein Naturbimsstein.
Hühneraugen sind immer Folge von zu starkem Druck beispielsweise durch zu enge Schuhe. Hier raten wir von sogenannten Hühneraugenpflastern ab, da diese ätzende Substanzen enthalten, die auch gesunde Haut angreifen.


Richtige Schuhwahl
Das Schuhwerk soll den Füßen – einschließlich der Zehen – ausreichend Platz bieten. Es empfiehlt sich, Schuhe nachmittags oder abends zu kaufen, da die Füße dann dicker sind als morgens.

Jegliche Einlagen mit Profil, Relief oder Noppen sind bei einer vorliegenden Nervenschädigung gefährlich. Sie können unbemerkt zu Druckgeschwüren führen. Wenn eine Nervenschädigung vorliegt, dürfen Patienten niemals barfuß laufen. In Bädern oder am Strand sollten sie geschlossene Badeschuhe tragen, da eine Verletzungsgefahr durch heißen Sand, Muscheln, Scherben etc. besteht.
Auch auf Wärmflasche oder Heizkissen sollten Betroffene an den Füßen verzichten. Eine Alternative sind Wollsocken. Strümpfe sollten generell keine auftragenden Ränder oder Nähte haben. Wichtig ist ein hoher Baumwollanteil.


Medizinische Fußpflege
Oft ist es sinnvoll, zusätzlich zur eigenen Fußpflege, die Hilfe eines medizinischen Fußpflegers in Anspruch zu nehmen. Betroffene sollten sich möglichst nach Adressen von Fußpflegern erkundigen, die eine Zusatzausbildung für die Behandlung von Patienten mit Diabetes haben.

Dies ist häufig bei sogenannten Podologen der Fall. Sie sind in der Lage, Risikopatienten wie Diabetiker entsprechend ärztlicher Verordnung zu behandeln. Zudem kann er Tipps zur richtigen Fußpflege für zuhause geben.


Vorsorge durch den Hautarzt
Vorsorge ist ein Muss für jeden Patienten mit Diabetes. Je früher der diabetische Fuß erkannt wird, desto besser sind die Heilungschancen. Wir empfehlen daher Betroffenen, sich regelmäßig alle sechs Monate ihre Füße vom behandelnden Hausarzt inspizieren zu lassen.

Er wird außerdem einen schmerzlosen Test mittels Stimmgabel zur Überprüfung der Nerven am Fuß durchführen und den Fußpuls messen, um die Durchblutung der Füße zu überprüfen. Falls erforderlich, wird er Sie an eine Diabetes-Fußambulanz überweisen.  

Diabetischer Fuß – Konservative Behandlungsverfahren

Ziel der konservativen Behandlung ist die Erhaltung der betroffenen Gliedmaßen. Im ersten Schritt erfolgt eine Abklärung des Gefäßstatus. Gibt es Engstellen, die zu einer Minderdurchblutung führen? Liegt eventuell sogar ein Gefäßverschluss vor?

Sind Fragen wie diese geklärt, wird im nächsten Schritt die Wiederherstellung der Gefäßdurchblutung angestrebt. Dies erfolgt entweder mittels eines Katheters oder durch eine Gefäß-Bypass-Operation. Erst unter bestmöglicher Durchblutung können die Wunden und Geschwüre beim diabetischen Fuß abheilen.


Behandlung mit Fliegenmaden
Als ein weiterer Baustein im Therapiekonzept chronischer Wunden ist jetzt auch die Behandlung mit Fliegenmaden etabliert worden.

Erst im amerikanischen Bürgerkrieg wurden Fliegenmaden wieder gezielt zur Wundbehandlung eingesetzt, mit Entwicklung der antibiotischen Medikamente kam aber dann das vorrübergehende Ende der Fliegenmadentherapie. In den neunziger Jahren erlebte der Einsatz von Fliegenmaden aufgrund neuer wissenschaftlicher Erkenntnisse und steriler Produktionsmethoden aber eine Renaissance.

Die Made ist ein reiner Nekrophage, d.h. nur abgestorbenes Gewebe wird über das Speichelsekret aufgelöst (Proteolyse), verflüssigt und gleichzeitig als Nahrung wiederaufgenommen. Dabei wird die Grenze zum gesunden Gewebe nicht überschritten. Mit dieser Wundreinigung (Debridement) wird eine wichtige Grundlage der Wundheilung geschaffen, zudem werden dem Speichel- und Darmsekret antimikrobielle und zellfördernde Eigenschaften zugeschrieben.
Besonders Problemkeime können vom Madensekret eliminiert werden, alkalisierende Substanzen wie Ammoniak und Calciumcarbonat werden für diesen Effekt verantwortlich gemacht. Gleichzeitig führt das Madensekret zu einer Stimulation menschlicher Fibroblasten, die zur Wundheilung unbedingt erforderlich sind.

In einem Aufklärungsgespräch wird der Patient zudem eingehend beraten und mit Informationsmaterial versorgt, was zu einer guten Akzeptanz dieser Wundtherapie führt.

Diabetischer Fuß – Operative Behandlungsverfahren

Zur Behandlung des diabetischen Fußes können auch minimal-invasive interventionelle Verfahren oder operative Verfahren eingesetzt werden, manchmal auch die Kombination aus beidem. Zu diesen Verfahren gehören unter anderem die Angioplastie. Dies ist eine schonende Katheteruntersuchung. Durch diese können Engstellen in den Gefäßen durch Aufblasen eines Ballons behoben werden. Sollte dies nicht zum gewünschten Erfolg führen, ist es möglich in der gleichen Sitzung einen Stent einzusetzen, der das Blutgefäß dann offenhält.

Aber auch neuere Verfahren kommen zum Einsatz. Zum Beispiel die Atherektomie. Die Atherektomie ist eine Art Gefäßfräse, um hartnäckige, wiederkehrende Gefäßwandablagerungen zu entfernen. Wenn diese Therapien nicht zum gewünschten Erfolg führen, z.B. durch längere Verschlüsse, die man nicht mehr eröffnen kann, besteht die Möglichkeit einen Bypass zu legen. Dabei wird die verschlossene Strecke durch eine „Umleitung“ ersetzt. Es können sogar Bypässe bis zum Fuß angelegt werden. Diese Maßnahmen führen dann zur Verbesserung der Durchblutungssituation und zur Abheilung des diabetischen Fußes.


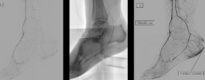
Angioplastie bei Durchblutungsstörung in der Ferse

Angioplastie bei Durchblutungsstörung in der Ferse: Eröffnung einer Unterschenkel- und Fußarterie durch einen Ballon. Abb. 1a zeigt den Zustand vorher, Abb. 1b den Katheter und Abb. 1c nach der Behandlung.

© Marien Hospital Witten | Impressum | . Datenschutz | . Datenschutz­einstellungen anpassen.